I passaggi per la sistemazione con l’applicazione di faccette.

Faccette caso 04

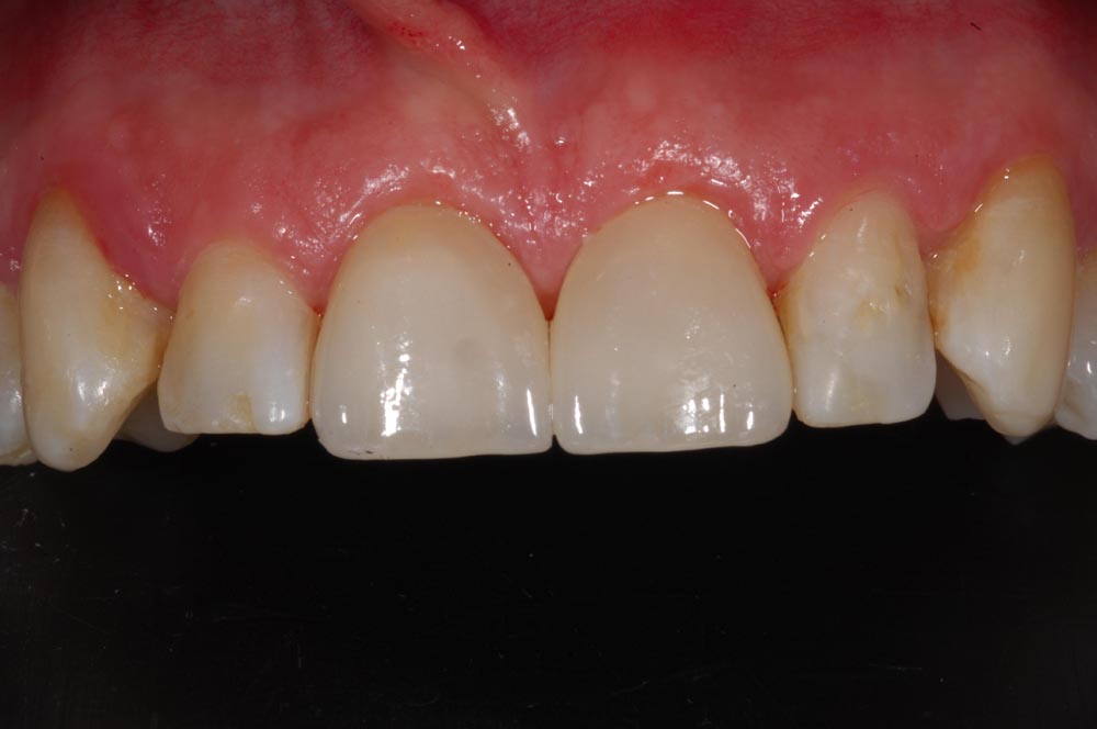
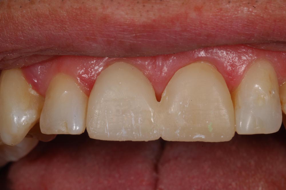
Faccette, veneers, iniziale
Faccette, veneers, iniziale
Faccette, veneers, iniziale
Faccette, veneers, preparazione
Faccette, veneers, preparazione
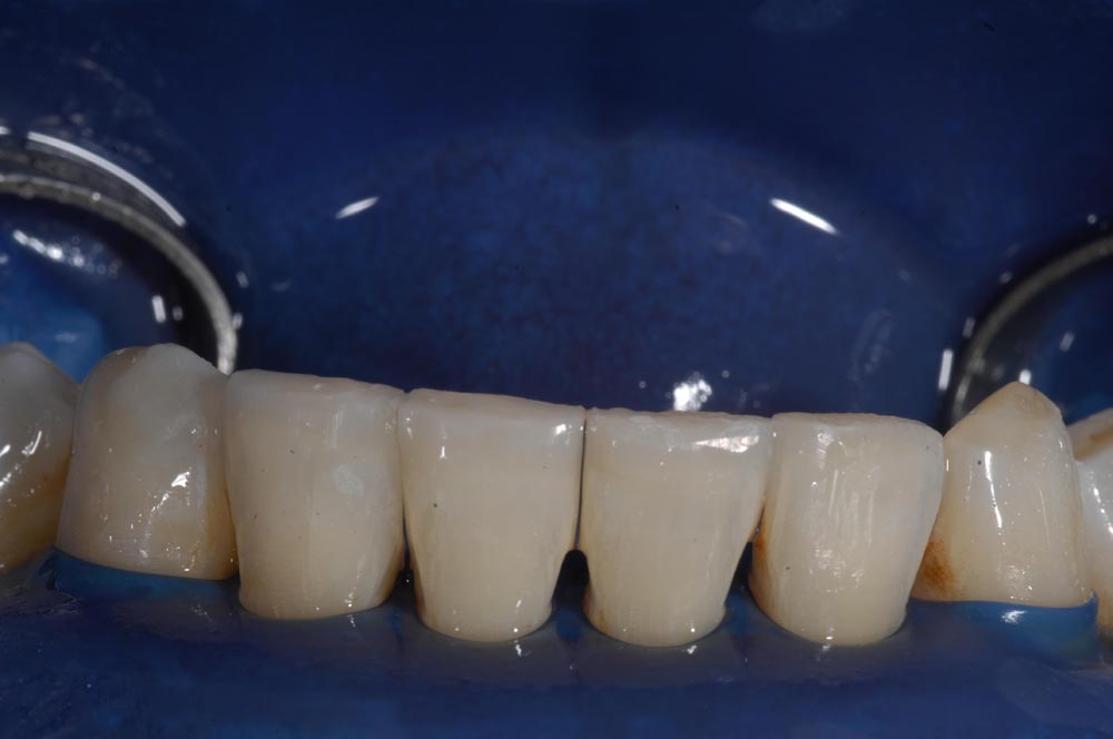
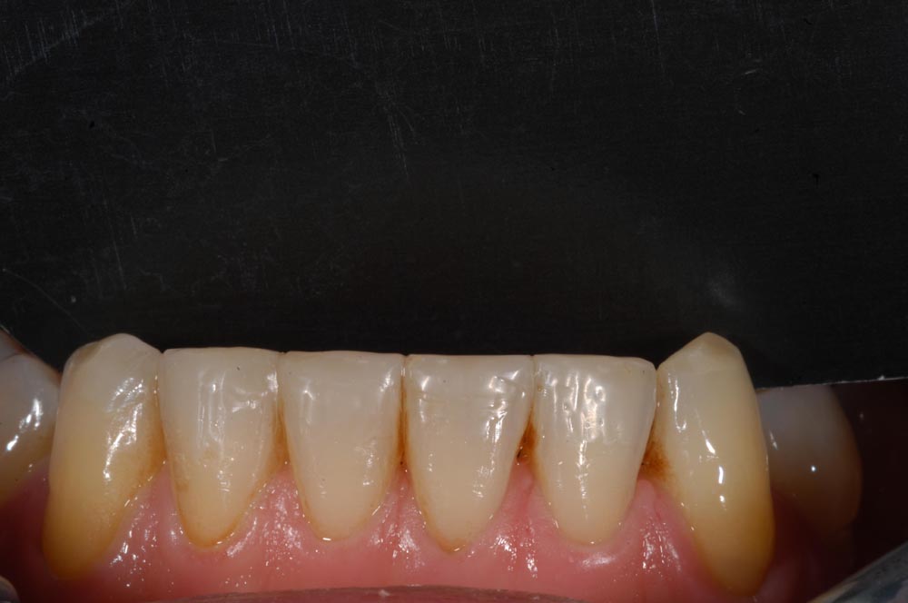
Faccette, veneers, inferiore
Faccette, veneers, inferiore
Faccette, veneers, inferiore
Faccette, veneers, inferiore
Faccette, veneers, inferiore
Faccette, veneers, mokeup
Faccette, veneers, mokeup
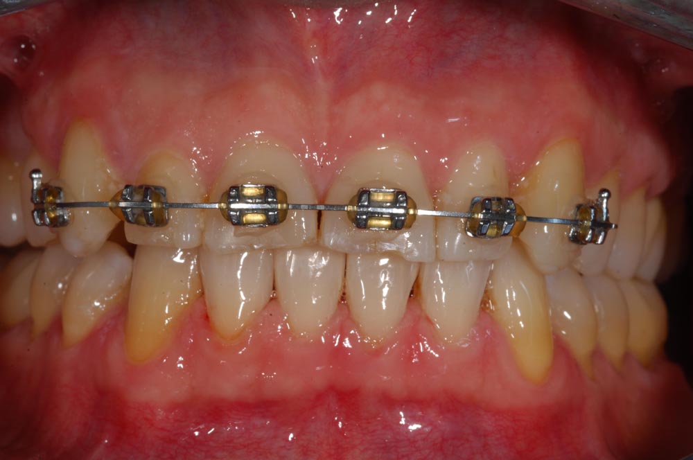
Faccette, veneers, ortodonzia
Faccette, veneers, ortodonzia
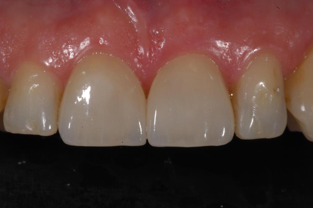
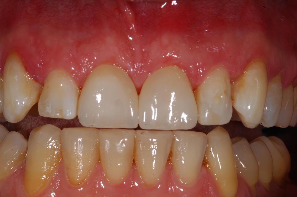
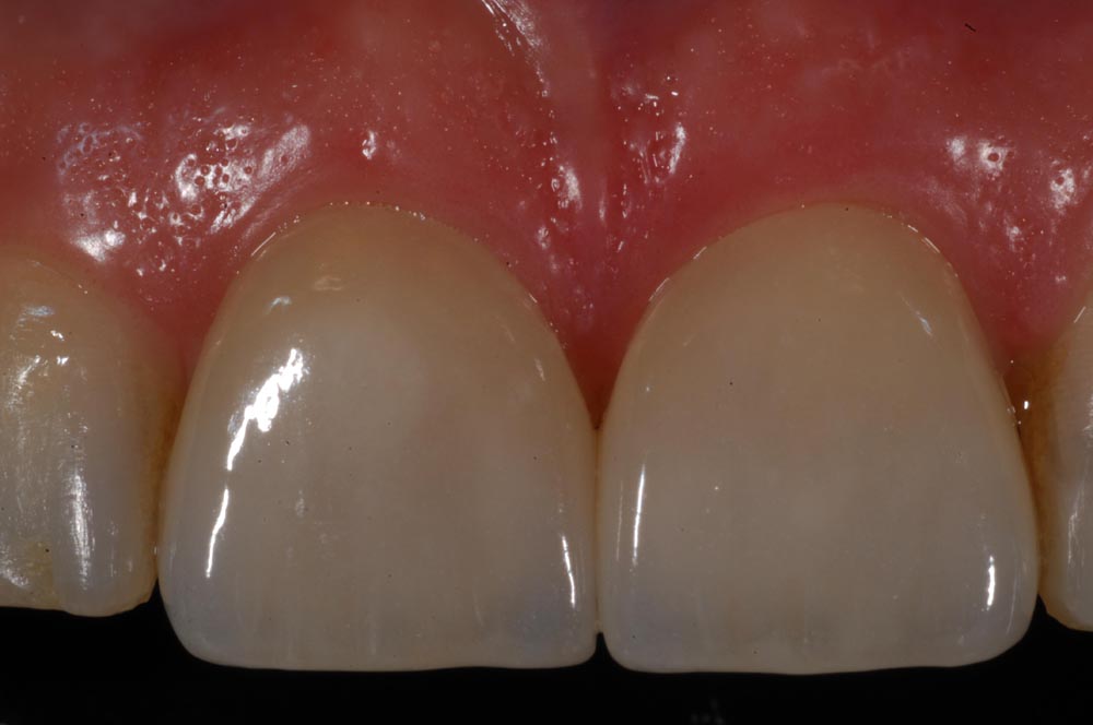
Faccette, veneers, finale
Faccette, veneers, finale
Faccette, veneers, finale
Faccette, veneers, finale
Faccette, veneers, finale
Faccette, veneers, finale
Faccette, veneers, iniziale Faccette, veneers, iniziale Faccette, veneers, iniziale Faccette, veneers, preparazione Faccette, veneers, preparazione Faccette, veneers, inferiore Faccette, veneers, inferiore Faccette, veneers, inferiore Faccette, veneers, inferiore Faccette, veneers, inferiore Faccette, veneers, mokeup Faccette, veneers, mokeup Faccette, veneers, ortodonzia Faccette, veneers, ortodonzia Faccette, veneers, finale Faccette, veneers, finale Faccette, veneers, finale Faccette, veneers, finale Faccette, veneers, finale Faccette, veneers, finale

Richiesta informazioni

Compila il modulo senza impegno oppure chiamaci allo 0541 921386

    Il tuo nome*

    La tua email*

    Telefono*

    Note/Richieste

    Ho letto e accetto le condizioni sulla Privacy