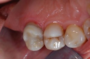
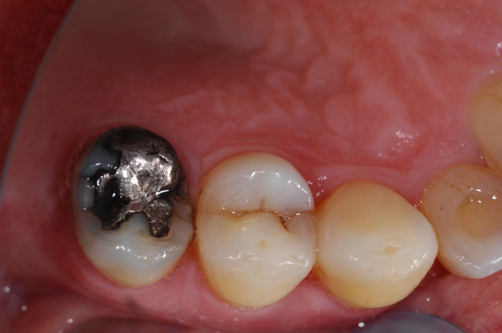
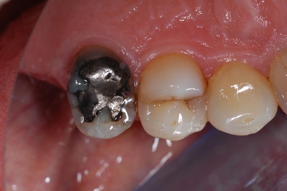
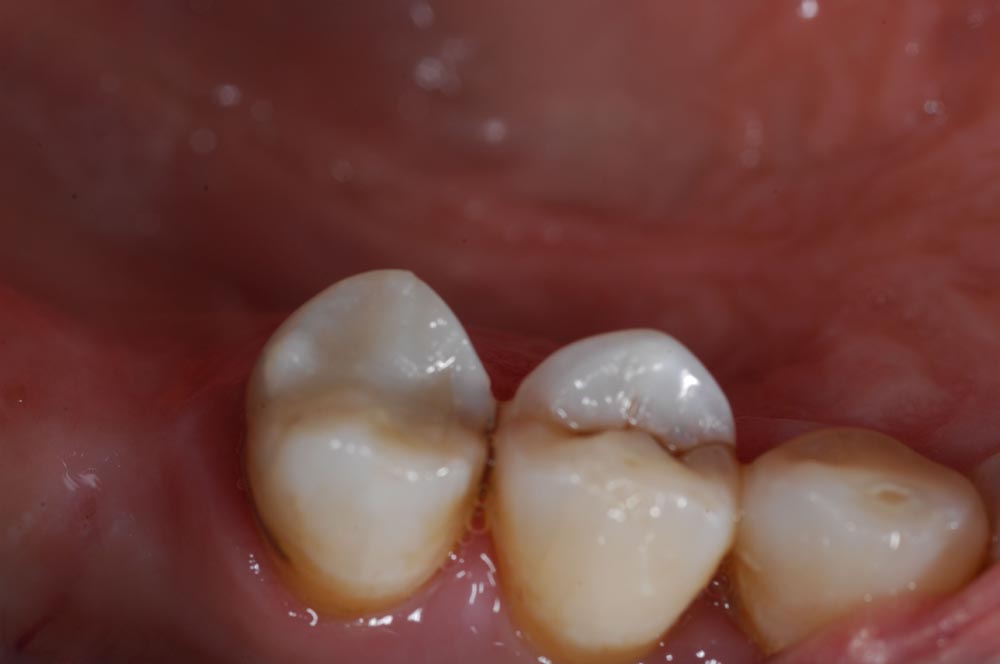
Il paziente presentava una situazione che ha richiesto l’adozione di alcuni accorgimenti.

Richiesta informazioni

Compila il modulo senza impegno oppure chiamaci allo 0541 921386

    Il tuo nome*

    La tua email*

    Telefono*

    Note/Richieste

    Ho letto e accetto le condizioni sulla Privacy