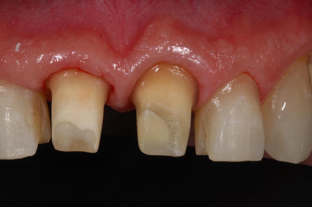
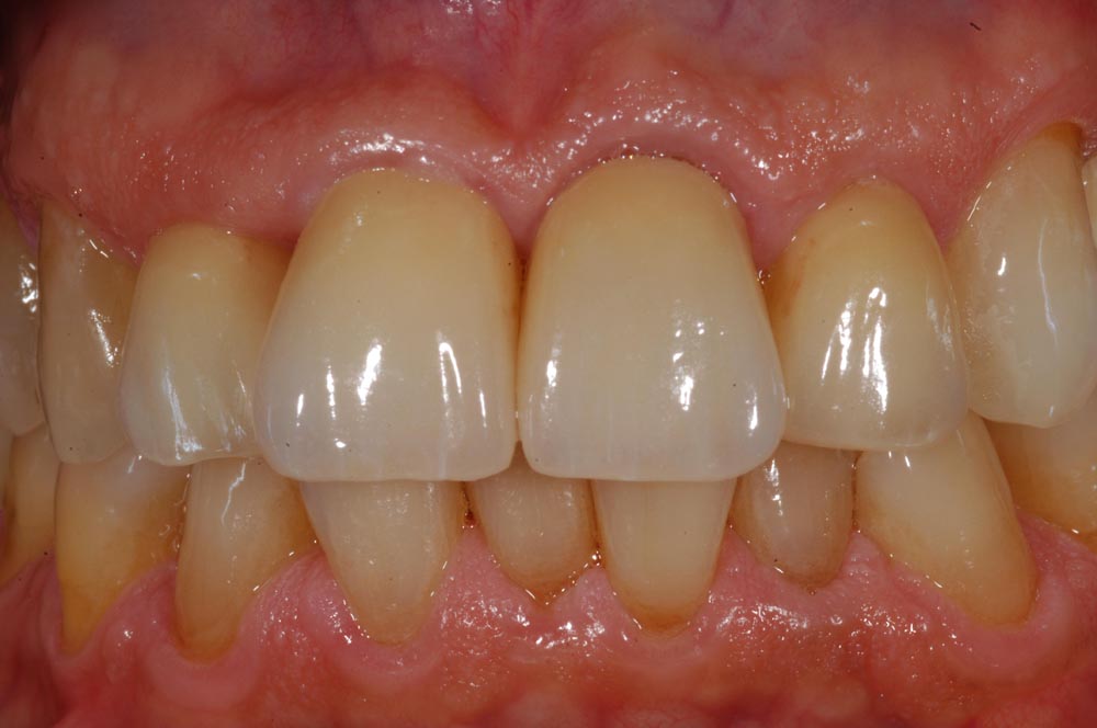
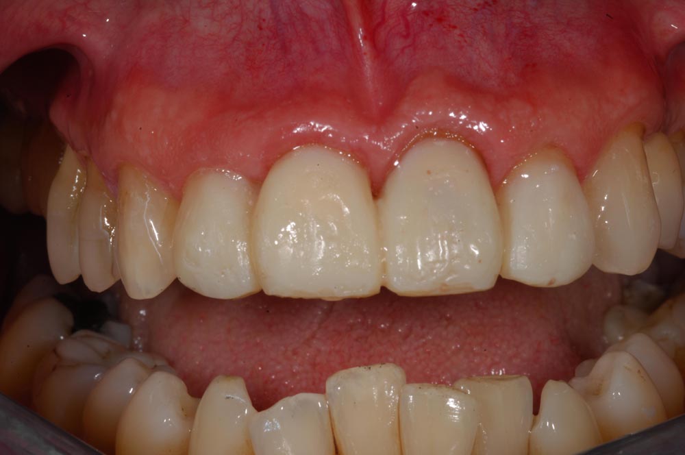
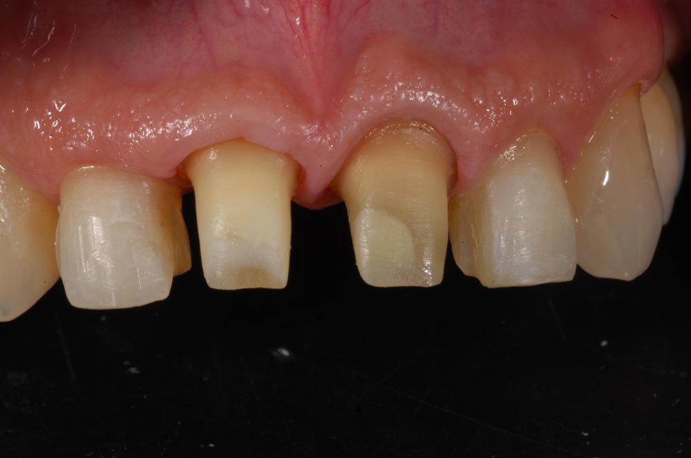
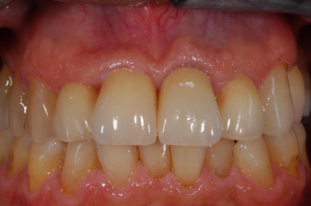
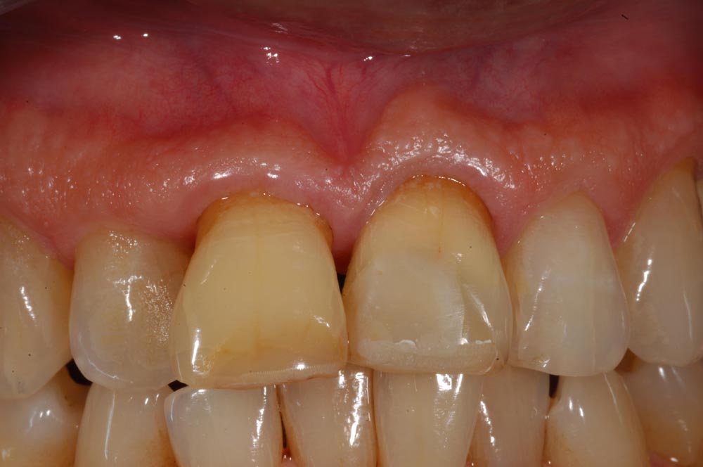
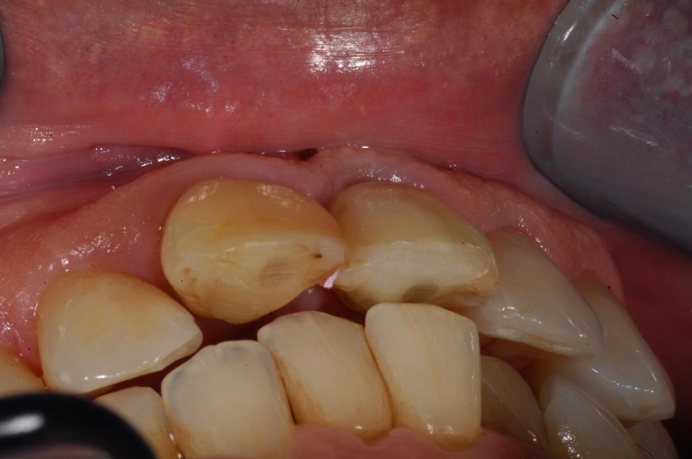
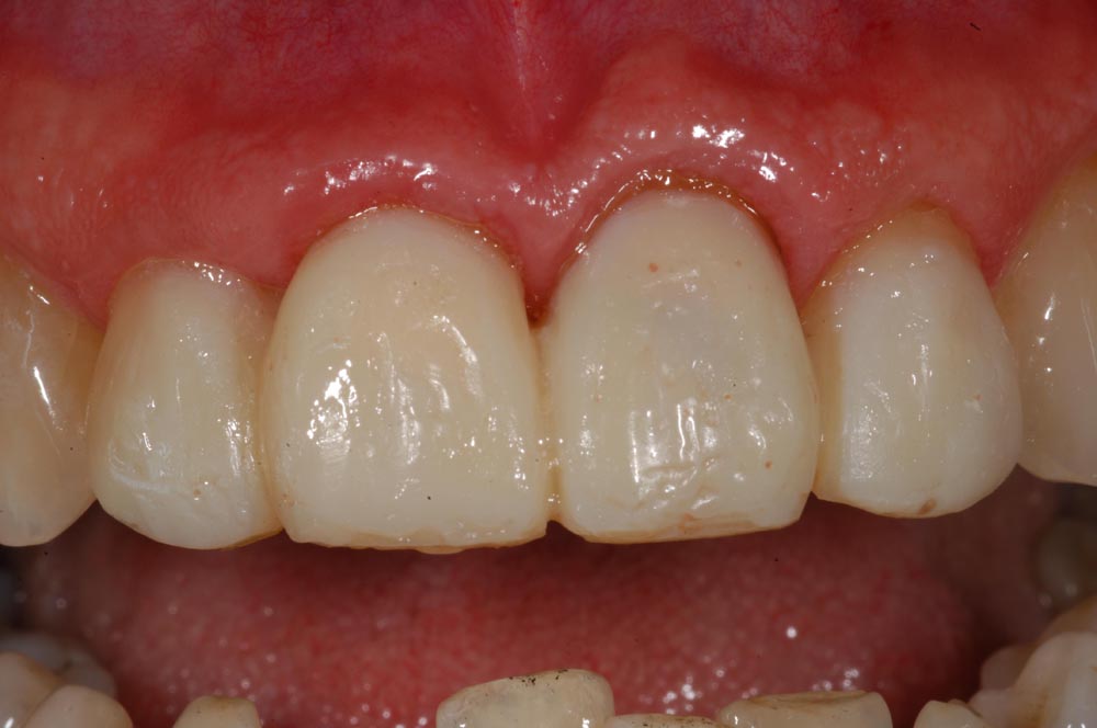
Un altro caso in cui sono state applicate le faccette.

Faccette, veneers
Faccette, veneers
Faccette, veneers
Faccette, veneers
Faccette, veneers
Faccette, veneers
Faccette, veneers
Faccette, veneers
Faccette, veneers
Faccette, veneers
Faccette, veneers
Faccette, veneers
Faccette, veneers
Faccette, veneers Faccette, veneers Faccette, veneers Faccette, veneers Faccette, veneers Faccette, veneers Faccette, veneers Faccette, veneers Faccette, veneers Faccette, veneers Faccette, veneers Faccette, veneers Faccette, veneers

Richiesta informazioni

Compila il modulo senza impegno oppure chiamaci allo 0541 921386

    Il tuo nome*

    La tua email*

    Telefono*

    Note/Richieste

    Ho letto e accetto le condizioni sulla Privacy