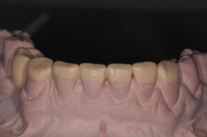
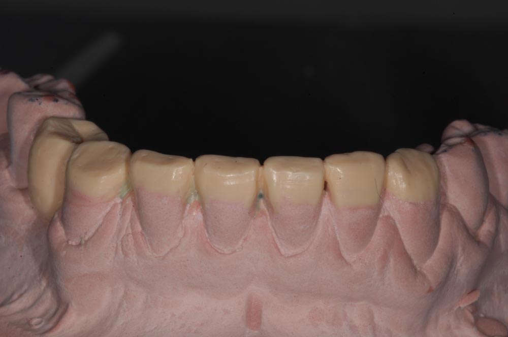
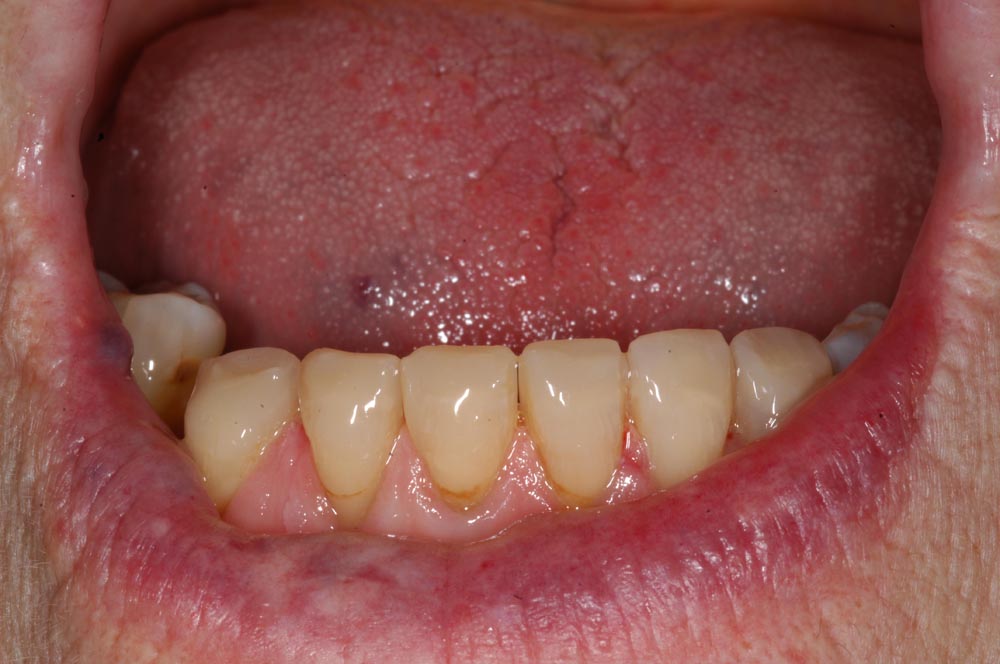
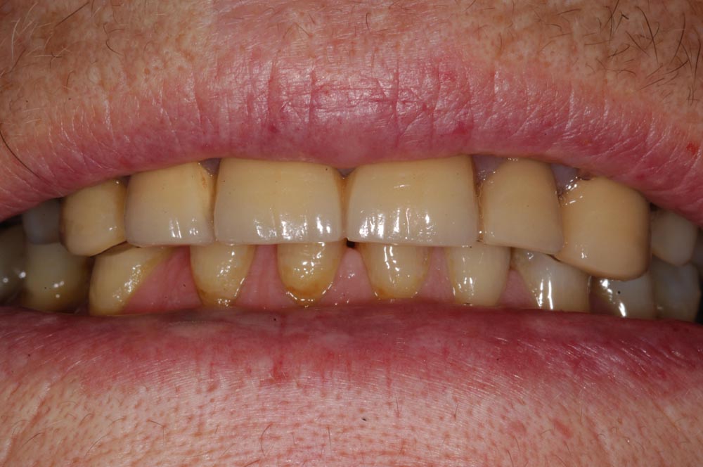
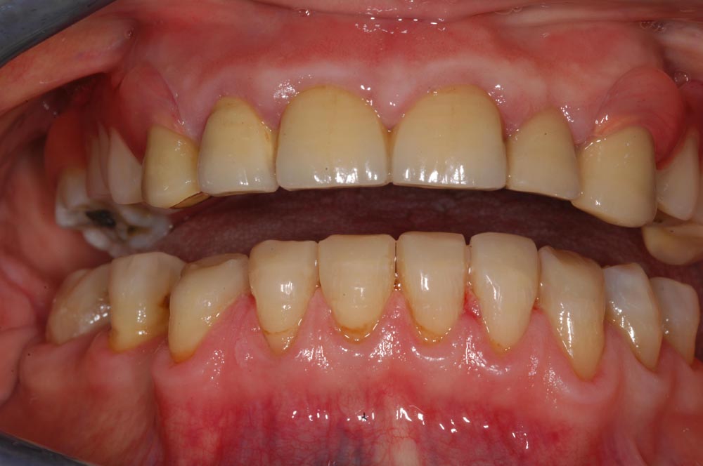
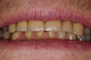
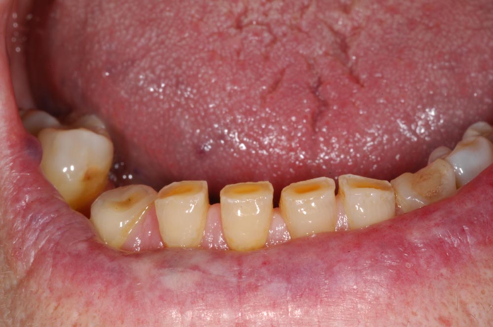
Uno tra i nostri casi di intarsi diretti.

Intarsi diretti
Intarsi diretti
Intarsi diretti
Intarsi diretti
Intarsi diretti
Intarsi diretti
Intarsi diretti
Intarsi diretti Intarsi diretti Intarsi diretti Intarsi diretti Intarsi diretti Intarsi diretti Intarsi diretti

Richiesta informazioni

Compila il modulo senza impegno oppure chiamaci allo 0541 921386

    Il tuo nome*

    La tua email*

    Telefono*

    Note/Richieste

    Ho letto e accetto le condizioni sulla Privacy